RESEARCH |
/ 研究成果 |
---|
『臨床の疑問を基礎研究に,基礎研究の成果を臨床へ橋渡しへ,そして社会に貢献』の姿勢で,多種多様な研究に携わっています。
先の社会を見据えたSocial Impact を!

バイオフィルム形成の抑制
歯周病やう蝕の原因となる細菌バイオフィルムは,細菌が歯面等へ付着して増殖することから始まります。 それを抑制しようと,耐性菌が発生しない作用機序の薬剤を作用させる「運搬体 = キャリアー」を開発したり,植物や食品素材に含まれる自然物を作用させたり(phytochemistry)しています。 これは,治療よりも安価で広範囲に予防することを可能にします。 また,その細菌の感染をDNAや免疫グロブリンのレベルで検出する検査系を樹立したりしています。
その成果は,異分野の雑誌に公表することによって,歯科系や医療系以外の広い分野から興味を持ってもらっています。

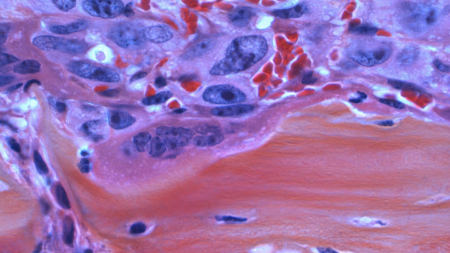
炎症・免疫反応の制御
感染の後に起こる炎症・免疫反応によって,歯の周囲にある歯周組織や根尖周囲組織は生体側の反応によって破壊されていきます。 さらに,こうした局所での反応は歯の周囲組織に止まらず,全身的にも悪影響を与えます。 通常ではこうした「炎症性」の反応はやがては「治癒性」の反応へと変化しますが,歯の周囲では感染が持続するので常に「炎症性」の反応が持続して悪循環に陥ります。 そこで,こうした反応を「治癒性」へ積極的に転換させる研究を行っています。 一方で,炎症を長引かせる因子を検出することで,歯周病への感受性を検査することに繋げようともしています。
その成果は,炎症,免疫,薬理などの広範囲の雑誌に公表することによって,広い分野から興味を持ってもらっています。

歯周組織等の再生の制御
歯周病治療の一環として,歯周組織の再生を増殖因子を治療薬として用いる時代になりました。 培養した細胞の移植によって再生することも可能となりつつありますが,広く一般化した治療となりには,費用が問題として残ります。 そこで,増殖因子を効果的に利用する方法を研究しています。 一方で,こうした考えを歯髄や根尖周囲組織にも応用すると,炎症の制御によって治癒を誘導することが効果的であることが分かってきました。
これらの成果は,歯周病や歯内療法の専門誌,さらには炎症・免疫などの広範囲の雑誌に公表しつつあります。

異分野とのコラボレーション
歯学領域の行き詰まった問題を,異分野の研究者とコラボレーションすることで,新領域を開拓しようとしています。
例えば,歯周病治療後や高齢者では,歯根が露出するために,歯根部の知覚過敏症が問題となって生活の質(QOL)が低下します。 さらに,歯根面にう蝕が発生しやすいことが問題となります。 そこで,薄層の炭素からなる酸化グラフェンと金属イオンを混合して作成した機能性複合体を歯根面に塗布することで,歯根の象牙細管を封鎖して歯質を強化するだけではなく,歯根面に付着する細菌を抑制させることが分かりました。

橋渡し研究
私たちは,2009年の科学技術振興機構(JST)による若手研究者ベンチャー創出推進事業での採択課題「要介護者向け口腔ケア剤の開発」を始めとして,自治体や会社等による各種の助成金を得て,食品素材等から既存の殺菌剤の効果を持続させたり抗菌効果のあったりする物質を見出しています。
さらに最近では,2020年に国立研究開発法人日本医療研究開発機構(AMED)の「橋渡し研究戦略的推進プログラム(2次公募)」(シーズB)で,「がん化学療法に伴う口腔粘膜炎の疼痛緩和・発症制御を目指す新規口腔粘膜保護材の開発」も採択されました。

国際性と普遍性
多くの留学生を大学院生や研究生として受け入れています。 これを可能としているのは,教員の大部分(8名中6名)がアメリカ合衆国の大学へポスドクとして海外留学した経験があることと,外国人教員と英語を得意とする教員の存在です。 マイノリティの気持ちを理解しながら,英語での意思疎通によって,教育・研究指導を行っています。
さらに,現在も若手研究者が,アメリカ合衆国の大学へポスドクとして海外留学中です。 こうした国際性のある若手研究者の育成が継続することが必要です。 また,海外留学の有無を問わず,大学病院の研究関連センターの職員となったり,中央省庁へ出向したりして,国内外の医療系の普遍性のある研究や現場に参画することを推奨しています。
MORE DETAIL |
/ 研究成果の詳細 |
---|
研究成果の2次データベース
私たちの研究成果は,種々のデータベースから検索できます。
Archives
以前の主な研究成果報告書です。
以前に担当した主な学術大会です。
